Tandimplantat

För dig som saknar en eller flera tänder.

Tandimplantat

För dig som saknar en eller flera tänder eller behöver ersätta befintliga är tandimplantat en bra lösning. Ett tandimplantat är ett större ingrepp i din mun och våra specialist tandläkare på Norrviken tandakut Klinik i Sollentuna låter dig alltid genomgå konsultation för att du ska få alla fakta och noga kunna tänka igenom beslutet. Ingreppet utförs först efter den vägledande konsultationen.

implantat

Det bästa sättet för att ersätta tänder är med tandimplantat. Ända sedan 90-talet har miljontals patienter fått tänder ersätta med implantat och det är en svensk uppfinning. Vi på Norrvikentandakut klinik i Sollentuna arbetar med moderna metoder och kämpar för din rätt att få en fullt funktionell och estetiskt tilltalande mun.

implantat

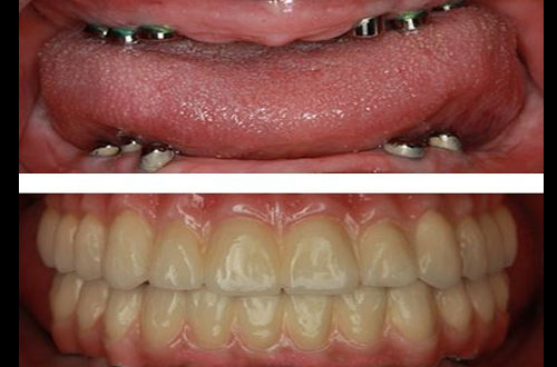
Specialiserade tandimplantat efter dina behov

Med tandimplantat slipper du oroa dig för att tänderna ska lossna när du tuggar. Tandimplantat är en titanfixtur som placeras i käkbenet för att ersätta tandroten. Efter det skruvas en tandkrona fast på titanroten. Vi på Norrvikentandakut Klinik i Sollentuna med mer än 20-år erfaranhet bara i oral implantat utför allt från implantat för enstaka tänder till ersättning av tänder i hela munnen. Dessutom kan de titanrötter som vi opererar på plats också användas som en grund till större broar och förankrade proteser(täck-protes).Om vi bedömer att du behöver en mer omfattande operation, kanske på grund av att ditt käkben är otillräckligt för att sätta implantat i, vi kan utöka och bygga ut käk-benet med ben-pulver och membrane. Vi har erfarenhet av både enklare ingrepp och komplicerade fall och erbjuder den specialisttandvård som passar just dig.

implantat

Trygghet från start till mål

Vi vet att ett beslut kring tandimplantat inte är lätt att ta, och ingreppet är inte speciellt billigt. För dig som saknar tänder är tandimplantat viktigt för livskvaliteten. Hos oss på Norrvikentandakut Klinik i Sollentuna är du alltid i trygga händer och vi finns där för dig från första konsultation till operation, efterbehandling och återbesök efter utförd operation. Vi lägger plan för kostnader och behandling tillsammans med dig för att du ska kunna få bästa möjliga behandling.

implantat